Dry AMD and Geographic Atrophy: Earlier Intervention and New Management Approaches
Introduction
This group of retinal disease experts came together to establish a set of best practices for caring for patients with dry age-related macular degeneration (AMD) and geographic atrophy (GA), especially for optometrists who do not specialize in retinal disease.
To guide the conversation, the group answered a set of survey questions prior to the panel discussion. The results of the survey are discussed throughout this paper.
The individual approaches to patient care are similar but there are some strategic differences that align with specific practice settings, patient populations and years of experience.
ON THE LOOKOUT
Mary Beth Yackey, OD:
I’m excited to talk about GA, starting with early detection and defining what GA is and who would be a good candidate for treatment.
Let’s begin with screening patients for dry AMD. The answers to this question were either 50 years, 51 to 55 years, 56 to 70 years, and 71+ years (Figure 1). I’d like to hear some input on who starts to screen their patients at 50 years, and if anyone would screen earlier than that.

Figure 1. At what age do you begin screening patients for dry AMD?
Mark T. Dunbar, OD, FAAO: I don’t “screen” anybody. I do a complete eye exam and if they have drusen, obviously then we start worrying about AMD.
Mohammad Rafieetary, OD, FAAO, FORS, Dipl ABO, ABCMO: Maybe the better question would be, “At what age do you start suspecting or looking for dry AMD?”
Dr. Yackey: That’s a great point. I think there’s a lot that goes behind this question. I really don’t have an age that I start looking. We might look begin looking at someone who is 40 years old if they’re a heavy smoker and have a family history.1 You’re looking at everybody and if you see the signs, then you start diagnosing, right?
Julie Rodman, OD, MS, FAAO: Many optometrists offer wellness or screening tests for their patients, and in those situations, they may be reviewing imaging like optical coherence tomography (OCT), color fundus photography, or fundus autofluorescence (FAF) to look for signs of AMD in certain patient populations.
Because everyone on this panel specializes in retinal disease care, our approach may be a bit different. In our practices, we’re typically performing comprehensive evaluations—including OCT and often FAF—on most of our patients rather than relying solely on screening tests.
That said, it’s important to remember that many optometrists rely heavily on these wellness screenings in their practices, and they may not necessarily be evaluating every patient specifically for early signs of dry AMD.
Dr. Yackey: What is the youngest patient you have seen with AMD?
Dr. Rafieetary: If I see some of the signs in a 40-year-old, I will still question whether it is AMD or some other macular degenerative disease.
Dr. Yackey: The reason I ask is because I saw a patient with AMD who was 42. I ordered genetic testing for them because I couldn’t believe they would have AMD at 42. They had horrible GA early in their life, and by 52 is already being treated with complement inhibitors. So, I agree with you guys, because I think it’s not necessarily age related… It is an age-related disease, but if they’re a heavy smoker and have high BMI, high cholesterol and don’t take care of themselves, I believe we can see the disease develop sooner.2,3
Dr. Dunbar: This is not an elusive diagnosis to make. We see patients all the time who present with family histories and they want to know. AMD is probably one of the easiest diagnoses we can ever make in terms of somebody with an eye disease. Drusen are present at a certain age, then obviously we start to worry, but it’s either there or it’s not, I believe.
Dr. Rodman: I would also add that reticular pseudodrusen can occur quite frequently in younger patients.4 I realize it’s not technically part of the formal AMD classification, but we do know that patients with reticular pseudodrusen tend to be at higher risk for more rapid disease progression. Because of that, it’s an important finding to recognize. When we see reticular pseudodrusen, it can be a signal that the disease may advance, and it’s something we often identify earlier in the disease course.
Dr. Rafieetary: This is a common disease, and you need to keep it in the mind or over the radar. And as the patients reach these ages, the likelihood is going to go up. In my clinic, I have had a lot of patients who were referred for another condition. And when I look at them, they have AMD, too.
CONSENSUS: AMD is a common disease and should be kept in mind when examining all adult patients with specific risk factors, especially starting around age 50.
DRY AMD + GA
Dr. Yackey: The next question refers to the percentage of your patients with dry AMD also have GA (Figure 2). The results were similar among the group. In my practice, 21% to 40% of patients have both AMD and GA. I believe it’s because often patients with wet AMD also have GA, but I think we tend to look at that as just wet AMD, if that makes sense. I believe GA is hidden in almost all advanced forms of macular degeneration. I don’t know if you all feel that way, but I believe sometimes we underdiagnose or under assess that there’s GA in some of these patients. Does anyone else have input?

Figure 2. What percentage of your patients with dry AMD also have GA?
Dr. Rafieetary: My answer to that question was based on reports that 19 million people have AMD and about 2 million people have GA,5-7 which calculates to about 10%. It’s not my patient population per se, but in the general population.
Dr. Rodman: I said 11% to 20% because like you said, Dr. Yackey, I believe a lot of these are not diagnosed. I think that unless multimodal imaging is used, we miss it.
Dr. Dunbar: I said 1% to 10%. I believe of all the dry AMD patients, the number with GA is very small. I believe GA is in that 10% range.
Dr. Yackey: It is probably closer to 11% to 20%.5-7 On this question though, there’s so much GA that’s not diagnosed. A lot of patients stop coming in for care once they have GA because for so long they were told there was no treatment. And unfortunately, that’s still the common thought, even though there are complement inhibitors approved for treatment of GA. I think even in some optometry clinics, that’s the common thought, because maybe their retina specialists don’t offer complement inhibitors. And so many ODs incorrectly assume the patient is at the end stage, there’s not much we can do, and they tell the patient to call if they notice distortion.
Dr. Dunbar: It was very interesting to me that in the AREDS studies,8,9 GA was more common over a 5-year period than wet AMD, which does seem like what we see in clinical practice, in part because our idea of GA is that of the larger, more obvious lesions. The AREDS studies included even small areas of atrophy that could be missed if you were not looking carefully. If we were to narrow down the question to what percentage of your patients with intermediate dry AMD have GA, I think then that number goes significantly higher—anywhere between that 20% to 40%, to your point. But when you think of all the dry AMD patients, I think it’s pretty low.
Dr. Rafieetary: Two things I would comment on. The first goes along with what Dr. Dunbar said. A lot of people have AMD, but not all of them will go on to lose vision. So, you don’t want to have this message out there that indicates when you tell a patient they have macular degeneration that they will automatically go blind. You tell them they have macular degeneration and it can progress to either GA or wet AMD. The other thing is this disease, in my opinion, is extremely asymmetric. So, a lot of people have wet AMD in one eye that we’ve been injecting for 5 or 6 years and they’re still intermediate AMD in the fellow eye. So that asymmetry would muddy your numbers. So, would you say how many eyes or how many patients? So, then you can’t really come up with a perfect consensus on this number. But I would say if we put this number in that 11% to 20%, we are in the safe zone.5-7
CONSENSUS: It is likely that between 11% and 20% of patients with dry AMD also have GA.
RISK FACTORS AND LIFESTYLE MODIFICATIONS
Dr. Yackey: The next topic deals with risk factors. We were asked which of the following two risk factors for progression from early AMD to GA are the most important. The survey options included smoking history; family history; genetics; dietary habits; and others. I think it’s hard to pick two, and it looks like maybe some of us picked more than two. I chose smoking history, because I do feel that is significant, and dietary habits. I feel like they are maybe not the biggest risk factors because genetics obviously play a huge role.2,3
Something else to consider that relates to this question is how we talk to our patients about modifiable risk factors.
Dr. Rodman: This question is not asking us to separate modifiable versus nonmodifiable risk factors, which is actually a major distinction when we talk about AMD risk. The most significant nonmodifiable risk factor is a patient’s genetic profile, while smoking remains the most important modifiable risk factor associated with the development and progression of AMD.10
Beyond that, AMD is influenced by a wide range of additional factors that have been identified across multiple large epidemiologic studies. These include age, environmental exposures, systemic health factors, and lifestyle variables that together contribute to disease risk and progression.11-14
Dr. Rafieetary: Age is a big one.11
Dr. Yackey: That’s true. That is a good point. Age is probably the number one risk factor.11 I answered these questions with how I talk to my patients, not necessarily what the truest risk factor would be. Does anyone have questions or any comments on this one?
Dr. Dunbar: I think diet becomes extremely important in the context of genetic risk factors. Clearly, we talk about eating healthy including green leafy vegetables, but I wonder for the vast majority of the population who don’t carry any of the genes for AMD how important diet really is for developing AMD for those people who already may have an extremely low risk. I’m not discounting it, but I believe genetics are really a key driver in all this.
Dr. Rodman: I agree.
Dr. Rafieetary: Another thing to consider is the status of the fellow eye.15
Dr. Rodman: I agree.
Dr. Dunbar: Good point. I agree.
Dr. Yackey: It looks like we are all in agreement regarding the fellow eye.
For me, dietary habits included AREDS too. That’s where my mind went and how I would talk to my patients; I’d talk about family history.
Our next survey question relates to lifestyle modifications. How often would you recommend optometrists educate their patients about lifestyle modifications to slow AMD, for example, diet and smoking cessation? At every visit? Sometimes? Rarely? Or never? We all agreed every visit.
Dr. Dunbar: Yeah, this was a no-brainer.
CONSENSUS: The most significant risk factors that contribute to progression from dry AMD to GA include age, smoking history and dietary habits, and the status of the fellow eye should also be considered.
CONSENSUS: It’s important to discuss with patients with AMD during every visit the positive impact that lifestyle modifications can have on slowing disease progression.
IMAGING
Dr. Yackey: Which two imaging modalities do you recommend for diagnosis and monitoring of dry AMD? The choices included fundus photography, optical coherence tomography (OCT), fundus autofluorescence (FAF), OCT-angiography (OCTA), and fluorescein angiography (FA). I believe most of us are going to perform OCT and FAF (Figure 3).

Figure 3. Which two imaging modalities do you recommend for diagnosing and monitoring dry AMD?
Dr. Rafieetary: I chose fundus photography, too, because the Neely study16 showed how MDs and ODs miss this disease by clinical examination and color fundus photograph. Color photography may not be as validated for GA, but for AMD where you can miss it clinically, so we shouldn’t dismiss that. And then the availability of that in optometric practice.
Dr. Rodman: That raises an important point: not all fundus photography is created equal. Many clinicians rely heavily on widefield imaging, but widefield systems are not always optimal for carefully evaluating the posterior pole and subtle macular changes.17
So if we’re going to rely on fundus photography for clinical decision-making, it’s critical that the imaging system provides high-quality visualization of the macula, where many of the earliest and most subtle AMD findings occur. Having a camera that can reliably capture those fine macular details makes a meaningful difference in identifying early disease and monitoring progression.
Dr. Rafieetary: But even with those widefield cameras, if the image is good, you can always zoom into the posterior pole. You can always tease out diseases if that’s what you’re looking for.
Dr. Rodman: You can, but it’s still not comparable to the image quality you get from a dedicated posterior segment camera when evaluating the macula.
Dr. Rafieetary: Unfortunately, we don’t have that many options.
Dr. Rodman: I think it just depends on the modality that you’re using.
Dr. Dunbar: I love fundus photography. It’s what we grew up on, and I believe it best simulates what we do from a clinical perspective. But when you look at economics and reimbursement by the insurance carriers for fundus photography, I will often omit, even though I would love to have it. I will do it if I think it is a good teaching case or if I think it is important for following the patient. I certainly don’t do it often enough. And I think retina specialists also don’t do it that often; they mostly rely on OCT and FAF.
Dr. Yackey: For AMD, when I do take a color fundus photo, it is fully for teaching purposes. In our clinic, they would giggle that we were taking fundus photography color photos. But I do think that this is helpful to discuss because there are many optometrists who might not have OCT or FAF. I think most of us who specialize in retinal care are getting those in our practices now, but I think in the general population, a lot more optometrists probably still have widefield imaging.
Dr. Dunbar: I chose fundus photography and OCT. What do you recommend?
Dr. Rafieetary: Right. And then that’s for AMD. Unless you have a lot of lipofuscin, FAF in early AMD and maybe intermediate is not helpful. If you’re talking about dry AMD versus GA, the question here is AMD, not GA. So, when you go to GA, the paradigm shifts toward FAF.18
Dr. Yackey: I totally agree with you.
Dr. Rafieetary: OCT can catch it all if you know what you’re looking at and scan it right.
CONSENSUS: If available, OCT and FAF are ideal for diagnosing and monitoring dry AMD. Color fundus photography is also a valuable imaging tool.
CRITERIA FOR MONITORING PROGRESSION
Dr. Yackey: What three criteria do you recommend for monitoring the progression of a patient with dry AMD? The options were visual acuity loss, drusen progression or pigmentary changes, onset of a choroidal neovascularization (CNV), patient-reported quality of life, atrophic lesion growth, or others. I think we all agreed that dry AMD is not a visual acuity loss issue. Drusen or pigmentary changes and atrophic lesion growth were chosen by all of us, followed by the onset of choroidal neovascular membrane19 (Figure 4).

Figure 4. What three criteria do you recommend for monitoring progression of patients with dry AMD?
Dr. Rafieetary: If you have CNV, your AMD has progressed.20
Dr. Dunbar: Correct.
Dr. Rafieetary: You might see a patient for the first time and they have CNV but it’s progressed. So the choice is a little bit skewed, but I wouldn’t rely solely on patient feedback to determine if something is wrong.
Dr. Dunbar: I agree.
Dr. Rodman: I think another important point—something many optometrists may not fully appreciate—is that drusen collapse is not necessarily a good sign. In fact, it can represent progression in the disease process rather than improvement.21
I’ve had colleagues tell me that their patient’s drusen appear to be disappearing and assume that means the patient is improving. But that’s actually a common misconception. In many cases, drusen regression can precede the development of GA or other late-stage changes, so it’s something we need to interpret very carefully in the context of the overall clinical picture.
Dr. Rafieetary: But that’s in more context of drusenoid PEDs and PEDs, because drusen may regress over time, but regression does not necessarily indicate improvement and may precede atrophy. If you get large volume drusenoid PEDs and they collapse, they could become GA. But the larger PEDs are the biggest ones when they collapse, and you see a very sudden GA.21
CONSENSUS: Drusen progression/pigmentary changes and atrophic lesion growth are clear indicators that dry AMD has progressed.
AI-INTEGRATED TOOLS
Dr. Yackey: Do you currently use AI integrated imaging tools to assist in diagnosis or predicting the progression of dry AMD or GA? The options were “yes,” “no,” or “planning to adopt in the next 12 months.” We all said “no.”
Our clinics, and probably some of your clinics too, have been gathering data for AI technology for GA diagnosis and treatments—not for retina specialists, but for eye care providers who do not look at the retina all day. I believe this data would help those who do not specialize in retinal care. That’s where AI integrated tools may come into play.
Do you guys see that fitting in any of your practices at any time?
Dr. Rafieetary: If I had to look at 2,000 OCTs a day, I would use AI. But if my patient population stays in the range of 50 to 60 patients a day, I think I can assess the OCT faster than the AI tools. Because with a lot of them, you have to actually change your scanning strategies, and it causes more work for you.
I think AI is going to play a role in telling us which GA patients are better candidates for treatment, which one of these patients may have a higher risk for developing neovascularization. In my opinion, AI may help predict risk and treatment candidacy, not just read scans.
Dr. Rodman: I had the opportunity to test one of the AI imaging tools, and Dr. Rafieetary raised a really good point. At least with the system I used, it didn’t do the best job of detecting subtle findings. The performance was also highly dependent on the specific OCT rasters that were uploaded. Even with the rasters I included, I felt that the tool still struggled to consistently identify more subtle changes.
At this stage, in my opinion, the technology is promising, but I’m not sure it’s quite ready yet to replace careful clinical interpretation.
Dr. Yackey: I agree with you.
Dr. Rafieetary: I feel your pain.
Dr. Yackey: I think Dr. Dunbar and I talked about this too. Our systems are so secure that we can’t upload into AI. I also don’t think we’re ready for it yet, but I do believe things are changing and it may have a place sooner than we expected, especially with identifying which lesions are fast versus slower progressing.
Dr. Rafieetary: Another thing to consider is that if you have AI read these images, will your professional payment for reading images go away because AI read the scans and you didn’t read it? And you spend money to get into the AI space, but then you lose money because even that $6 per scan they pay us to read and provide our opinions is at least something. It may all go away if we rely on AI.
Dr. Yackey: That’s a good point. I agree with all of you.
CONSENSUS: In the future, AI tools may be helpful in diagnosing and monitoring dry AMD and GA progression, but at this time it is not recommended for widespread use.
PROGRESSION TIMELINES
Dr. Yackey: Here’s our next question: how long do you believe it takes a patient to progress from first noncentral GA to central GA? Options included less than a year; 1 year; 2 years; 3 years; 4 years; and 5 years or more. We specialize in retinal and we’ve read the studies, so we kind of know. The results from the survey are split because it’s 2.5 years by the AMD study.22 I was unsure which to pick, 2 or 3 years, because I think it really depends on first noncentral GA (Figure 5).
Maybe this is because in a tertiary care setting we’re seeing it after GA was already diagnosed. Maybe it was diagnosed a year prior, the provider was watching it, and we’re just seeing that patient now. In that case, it might be a little faster. Is it multilobular? Is it a unifocal lesion? Is it bilateral? All those risk factors that we look at I think would make this be a little bit quicker depending on where the GA is starting and what it looks like.

Figure 5. On average, how long do you believe it takes a patient to progress from first noncentral GA to central GA?
Dr. Rafieetary: We should consider the circularity of the lesion, the shape, and different biomarkers.
Dr. Yackey: You must also take into account whether the patient is following the advice we give about lifestyle modifications, etc. They may still be smoking, and that will speed up progression.10 The average number is 2.5 years and we all agree on that.22
CONSENSUS: The median time for progression from noncentral to central GA is about 2.5 years.
FOLLOW-UP VISITS
Dr. Yackey: How often do you recommend follow-up visits for patients diagnosed with dry AMD? The options were every 3 months, every 4 to 6 months, every 6 to 12 months, or less than once a year.
For me, it depends on the patient’s stage of macular degeneration. And sometimes patients just need to be reassured. I probably was the one who said 4 to 6 months, even though I would prefer 6 to 12. But I have so many patients who need that reassurance that I generally won’t get them to 6 to 12, at least in my experience. I try 6 for sure, but I feel like the 12 months is too long. Do you guys usually see them back at 6 months or 12 months?

Figure 6. How often do you recommend follow-up visits for patients diagnosed with dry AMD?
Dr. Dunbar: I see patients at 6 months intervals. Remember, these are most likely elderly patients who have a lot of other comorbidities and are going to several other doctor appointments. I think 12 months may be too long, even though most of us growing up probably did it annually. I think with advances in imaging technology and what we know now about the disease, I think you need to see them more than once a year. I think 4 months is probably a little extreme for a relatively indolent disease. I see patients with dry AMD twice a year.
Dr. Rodman: I would add that if a patient has access to a remote monitoring device that links patients and their doctors between office visits for ongoing AMD monitoring, and we have confirmation that they’re actually using it, then it may allow us to space out in-office appointments a bit more.
Ultimately, it often comes down to practical considerations—how easy it is for the patient to get to the office, and whether they have reliable tools at home that allow us to monitor them between visits.
That said, I do agree with Dr. Dunbar that biannual follow-up visits are generally appropriate for many of these patients.
Dr. Dunbar: A patient with early dry AMD could be a year for follow-up, but anyone with intermediate AMD, my benchmark is twice yearly follow-ups.
Dr. Rafieetary: We classify AMD as early, intermediate and advanced. But within each of those stages, there is a range with a beginning and end. So there’s a spectrum even within those classifications. For instance, if I look at a patient and I go through serial OCTs from every time the patient comes in and you can see the fluid goes up and down multiple times. That indicates this is a very unstable patient.23 I’m not going to let that patient even go 6 months before I see them again. But if I scan a patient at every visit and each time the OCT looks almost the same as the last, that is the patient who you are surprised about if they show up with having a change. What you worry about in dry AMD is not that it might go immediately to GA but you’re looking at those patients for CNVM because GA is going to show up and then you follow that route.
But in the early AMD, we still are teasing more to find out who converted to wet AMD. If there’s no early indication, the so-called incomplete retinal pigment epithelium and outer retinal atrophy (iRORA), it all depends on where the patient sits on that spectrum.24 Then you must consider other patient factors like smoking, weight, sleep apnea, cardiovascular disease, family history.11 All those play a role. So, for me, I usually see patients anywhere from that 4, 6 to 12 months, depending on each patient and all those factors.
Dr. Yackey: We must remember that we’re developing guidelines for our peers who do not specialize in retinal disease. With that in mind, I think Dr. Dunbar had a good point. Yearly visits are typically acceptable for patients with early dry AMD, and patients with intermediate dry AMD should be seen every 6 months. I think patients who should be seen every 4 to 6 months are those with an atypical, nonclassic presentation because they might form a CNVM. In our retina-focused clinic, we tend to see patients who are atypical and you have to ask yourself if you are seeing hyperreflective material, is that something we need to treat, or is that truly nothing to worry about? For me, sometimes I bring patients back a little bit sooner because I’m deciding if they need an anti-VEGF injection.
And I know this discussion is based on dry AMD, but those are the patients who are crossing over. Dr. Rafieetary, I think you just said it. It really is case dependent. For me in my clinical practice in which I’m the only optometrist in a practice of retina specialists, I’m seeing patients referred from outside my practice. I think that’s why sometimes it’s 4 months, but most of the time it’s 6 to 12 months for me.
CONSENSUS: Yearly visits are acceptable for patients with early-stage dry AMD; patients with intermediate dry AMD should be seen every 6 months unless circumstances and risk factors necessitate the need for shorter duration between visits.
GA AND QUALITY OF LIFE
Dr. Yackey: Our next survey question is about functional assessment: What methods do you recommend for evaluating the impact of GA on patients’ quality of life? The choices included microperimetry, reading speed test, or low luminance visual acuity testing.
Dr. Rodman: There should have been an option for none of the above.
Dr. Dunbar: That’s exactly right, I do none of the above.
Dr. Rodman: Let’s be realistic–none of us really does any of these in practice.
Dr. Yackey: I agree. I don’t remember choosing low luminance visual acuity personally. Maybe I did.
Dr. Dunbar: I probably did too, but I don’t do any of them.
Dr. Yackey: I think more importantly, the preferred method for assessment is just listening to the patient tell me how GA is affecting their everyday life. Hearing patients comment on having a difficult time reading or having a hard time adapting from light to dark, having a hard time seeing faces. I think those are the big things. I think over and above any of these things, because none of us really do them, I believe those are the types of comments that best help us evaluate the patient’s quality of life.25
Dr. Rafieetary: Pay attention to the patient, talk to them and listen to them.
Dr. Yackey: I will never forget when I first started seeing patients, one of the doctors advised me to slow down, sit down and look at the patient and only then turn your back to write notes if you need to. Because if you don’t look at and listen to the patient, you’re going to miss a lot. So, Dr. Rafieetary, that is good advice.
Dr. Rafieetary: I once had a patient who I was looking at in the chair. I noticed his right shoe was on his left foot and his left shoe was on his right foot. I asked him if he realized that his shoes were on the wrong feet and he simply said, “Doc, I don’t see too well so my wife puts on my shoes.”
Dr. Yackey: That speaks volumes, what you just said.
Dr. Rafieetary: Pay attention to patients and you will understand how they struggle.
CONSENSUS: Paying attention to the patient, talking and listening to them are the best types of assessment to determine the impact of GA on a patient’s quality of life.
OCT BIOMARKERS
Dr. Yackey: The next survey question asked us to choose two OCT biomarkers we rely on most to evaluate a patient’s risk for progression to GA. I had some struggles with this question. The choices included hyperreflective foci; pigmentary changes; incomplete RPE and retinal atrophy / iRORA and cRORA; changes in the intensity of the ellipsoid zone; subretinal drusen deposits; or enlarged drusen (Figure 7).

Figure 7. Choose 2 OCT biomarkers you rely on most to evaluate a patient’s risk for progression to GA
Dr. Rafieetary: This question said choose two, but I selected all of them.
Dr. Dunbar: I chose large drusen size and incomplete RPE and iRORA/cRORA. I think all those biomarkers are important, but if you had to pick two, I thought those were the most significant.26-28
Dr. Rodman: I chose hyperreflective foci and drusen size as key indicators because once hyperreflective foci appear, it often suggests that the RPE is beginning to break down, and GA may soon follow.29-31
Another reason I focused on these features is that many optometrists are still becoming familiar with newer terminology such as iRORA and cRORA. Because of that, I think it’s helpful to keep the clinical guidance as straightforward as possible—highlighting recognizable findings like drusen size and hyperreflective foci first. From there, we can then expand the discussion and help clinicians understand how those findings relate to disease progression and the development of atrophy.
Dr. Rafieetary: If you see iRORA and cRORA, GA has already happened to some degree.27,28
Dr. Dunbar: And then you have to step back and think about the rate of progression, realizing that in most studies GA progression to central vision loss occurred within 2 to 3 years of the diagnosis.22 But I think if you’re starting to see even a small amount that the patient is progressing.
Dr. Yackey: I had a hard time picking two options, but I think hyperreflective foci are so easy to identify. As you mentioned, Dr. Rodman, that’s a good biomarker to recognize. It was hard to pick only two because they’re all important and I don’t know that one is more important than the other.
Dr. Rafieetary: And at the same time, somebody could have all of them except the hyperreflective foci in the scan line.
Dr. Yackey: You’re so right.
Dr. Dunbar: We should remember that hyperreflective foci are not specific to AMD either.32 You can see hyperreflective foci in a number of other conditions, so it’s not pathognomonic for AMD.32
Dr. Yackey: You’re absolutely right. All valid points.
Dr. Dunbar: I think it goes to the big picture that from an OD perspective, we need to recognize that these are all biomarkers for progression. We’re all learning about this, and I believe this is still something that many eye care providers aren’t thinking about. We need to start looking for all of these things as risk factors for progression.
CONSENSUS: It is vital to look for all the known OCT biomarkers to monitor a patient’s risk for progression to GA.
MANAGEMENT STRATEGIES
Dr. Yackey: What three management strategies do you recommend for managing patients with dry AMD? The choices included regular monitoring; AREDS supplements; lifestyle modification counseling; patient self-assessment tools; referral to retina specialists who are utilizing complement therapies; and other.
I think I chose all of them, and I think the new option we can’t forget about is multiwavelength photobiomodulation (PBM). We should also be thinking about ways of treating patients with dry AMD other than complement inhibitors. Obviously, we all said AREDS and self-assessment tools like Amsler grid testing or maybe even remote monitoring device (Figure 8).

Figure 8. What three management strategies do you recommend for managing patients with dry AMD?
Dr. Dunbar: I really hope nobody would refer a patient to a retina specialist simply because they have dry AMD. I don’t think that’s the message, especially when we look at the burden of care for this aging population that really relies on optometry to step up and do the best we can at early diagnosis and managing these patients until they actually need to be referred.
Dr. Yackey: I think for dry AMD, you do refer them for complement inhibitor treatment. It is a tricky question because it doesn’t specify the stage. When I answered that survey question, I said I would because if they have dry AMD with GA, I would refer them. I agree with you, Dr. Dunbar, I wouldn’t refer them before that.
Dr. Dunbar: Remember, it’s only 1% to 10% from your earlier question, so that’s 90% who have dry AMD.
Dr. Rodman: I agree. I think the survey question was a bit unclear, because the answer really depends on the stage of dry AMD. For example, if a patient has mild dry AMD, are we recommending AREDS supplements at that stage?
So, the interpretation of that question can go in several different directions depending on where the patient falls along the disease spectrum. The management approach for early AMD is obviously very different from what we would recommend for intermediate AMD, where AREDS supplementation is more clearly supported.
Dr. Rafieetary: I recently participated in an AMD webinar and only one person was using the remote AMD monitoring device, and only a few knew about it. This device has been around since 2009,33 but most ODs still claim they don’t know about it.
CONSENSUS: AREDS supplements and patient self-assessment tools are imperative to managing dry AMD, along with regular monitoring and counseling patients about lifestyle modifications.
REFERRAL TO A RETINA SPECIALIST
Dr. Yackey: What two criteria do you recommend for referring patients with dry AMD or GA to a retina specialist? The survey shows we all chose presence of neovascularization on OCT (Figure 9).
Obviously if it’s wet AMD, I think we all know we need to refer the patient for treatment within a reasonable timeline.
I believe it also depends on what your retina specialist wants and when they prefer to see that patient. It’s important that optometrists have a good relationship with their retina specialists and understand when they would want to see these patients. Also, I think we’re seeing best corrected visual acuity would only apply if the patient has near central GA. It might be important to refer the patient to the retina specialist to possibly help slow the progression.
Photobiomodulation (PBM) treatment may shift the referral timeline. I think it is important that primary eye care providers talk to their patients about all available treatments. If an optometrist’s patient is interested in PBM at intermediate AMD stage and their retina specialist offers PBM, I believe referral should be sooner. If perhaps the OD’s practice has a PBM machine in their office, then no need for referral.

Figure 9. What two criteria do you recommend for referring patients with dry AMD or GA to retina specialists?
Dr. Dunbar: The presence of CNV is an obvious choice and I may have chosen patient request as my second criterion. If a patient wants to see a retina specialist, obviously we’re going to allow that to happen. But just because a patient has GA, especially if it’s nonsight threatening, I don’t think I would refer that patient.
Dr. Rodman: If the patient has bilateral disease, I will certainly consider referring the patient when geographic atrophy is first identified. Those are often the types of patients a retina specialist may choose to manage more aggressively.
That said, referral decisions can vary depending on the individual patient. I selected initial diagnosis of GA as the referral point because, in many cases, the decision is ultimately patient dependent and may warrant earlier involvement from the retinal specialist.
Dr. Yackey: I chose initial diagnosis of GA as well, Dr. Rodman, because I work with physicians who won’t start the complement inhibitor until they see growth. So, let’s say the patient comes in with GA and it’s off-center today, but that’s the first time they’re seeing the patient. Then 6 months later the lesions are center threatening. So, I think it depends. That’s why the relationship with the retina specialist is important. The optometrist who is referring to the retina specialist might be able to provide photos or maybe they have a good relationship in that they attest that they already have seen the growth and it makes sense to send the patient.
Dr. Dunbar: It really goes back to your initial question of how often do you think GA is present in dry AMD? And some of you said it was a significantly high percentage. To me, if GA is present, but not sight-threatening or not visually significant, I would not refer that patient simply because they have GA.
Quite honestly, I don’t think that’s the message, I don’t think we need to refer every case of GA. As Dr. Rodman pointed out, if the patient has GA in the other eye–or even then, if it’s far out and not sight-threatening, I wouldn’t refer that either. We can debate about what sight-threatening potentially means, but I just don’t think any GA would warrant a referral to a retina specialist.
Dr. Rafieetary: This is another one of those questions that’s not so black and white.
Something that might fall under the “other” category is, for example, if your patient has CNV or you suspect CNV.
But to your point, Dr. Dunbar, GA is not one of those things you should refer to a retina specialist the moment you find it. In fact, most retina specialists would appreciate if you monitored the patient over two or three visits to find that natural history of the disease and have those discussions with the patients before you refer that patient.34
The comfort level of an OD must also be considered. In my referring community, there are a lot of doctors who even refer the early AMD patients. They just want a second opinion and/or confirmation that they aren’t missing anything.
Dr. Rodman: I agree with you. I think the reality is that most optometrists are not routinely evaluating features such as whether a lesion is multifocal versus unifocal or assessing patterns like hypo- or hyperfluorescence on FAF. In many cases, if they identify GA, they’re simply going to refer the patient—and honestly, that’s completely appropriate.
We also must remember that we specialize in retinal disease, whereas most optometrists are primarily focused on detecting whether GA is present. While many clinicians in general practice may be able to identify GA, they may not always be comfortable determining which patients are at higher risk for more advanced progression. And that’s where subspecialty evaluation can be particularly helpful.
Dr. Rafieetary: It is important to keep repeating the message to the OD community that visual acuity isn’t an indicator of disease progression. They must look at the disease and look at their patient.
Dr. Yackey: I think those are all great comments, and I think we all agree that what Dr. Dunbar said is true. When I mentioned referring the patient when you see GA, I believe many optometrists wait until the lesions have grown to the center, which is when visual acuity is affected. That’s unfortunately really too late to refer the patient for GA treatment.
This is when having a good relationship with your retina specialist comes into play. The optometrist should know at what stage of the GA does your retina specialist want to see the patient so it’s important to have open communication. This is case dependent for how comfortable the optometrist feels with managing the patient’s GA and how compliant the patient is with follow-up visits. It’s important not to wait too long, but we don’t want to overwhelm the ophthalmology colleagues either.
CONSENSUS: It’s important to know what level of GA you are comfortable with managing and what should be referred to the retina specialist. Effective communication and a good relationship with your network of retina specialists is also necessary and can improve patient care.
COMANAGEMENT
Dr. Yackey: The next question is about a standardized protocol for comanaging GA patients with retina specialists. I work in a retina group, so this was an easy answer for me. I’d like to hear from each of you.
Dr. Dunbar: I was likely the one person who answered “no.”
Typically, once those patients are referred from optometry to a retina specialist, I believe that most ODs are not going to see that patient on a regular basis.
Dr. Yackey: In our practice, the retina specialist does dilate the patient, but their visit is almost entirely focused on retinal imaging and treatment. Because their schedules are so compressed, they aren’t typically evaluating lids, lashes, the lens, or other anterior segment structures during those appointments. Their priority is the macula and the injection workflow, which means important aspects of a comprehensive eye exam fall outside the scope of that visit.
That’s why the optometrist’s role remains essential. Even once a patient begins GA treatment, they still need periodic comprehensive care—often every 6 to 12 months—to monitor for cataract progression, ocular surface disease, refractive changes, or other pathology that may not be assessed during retina-only visits. A patient with GA never fully leaves the optometry home because there is so much beyond the retina that still requires ongoing attention that the retina specialist isn’t looking at.
Dr. Rafieetary: At my retina-focused practice, I can tell you that we don’t want to manage the patients’ overall ocular health. We want to focus on our specialty, which is retinal disease. When a patient asks if we can look at something else or asks to refill a prescription for their dry eye that was written by their OD, we send them back to that OD for comprehensive eye exams, routine care, etc.
Dr. Dunbar: I guess it depends on the definition of “standard protocol.”
Dr. Rafieetary: There’s no “standard protocol.” There are protocols for cataract comanagement, but with retinal conditions.
Dr. Rodman: I would actually argue the opposite. In my practice, we schedule a follow-up appointment for any patient we refer out, because patients can easily become lost to follow-up. Sometimes they intend to go to the retina specialist but never actually make the appointment, and in those cases, no one ends up seeing them again.
Because of that, whenever I refer a patient, I schedule a “just-in-case” follow-up visit to ensure they followed through with the recommendation and received the care they need. That approach has become our standardized protocol for comanagement, and it helps close the loop, so patients don’t fall through the cracks.
Dr. Dunbar: I don’t disagree with that. We would all recommend making sure patients come back to you at some point during the journey. I don’t really consider that part of a protocol.
Dr. Rafieetary: Do you have a close relationship with the retina specialist you refer to, in other words, do you have access to a retina specialist? Make sure you develop a close relationship with more than one retina specialist in the community.
CONSENSUS: Work closely with the retina specialist to ensure the patient’s continuity of care, ie, the patient returns to optometry for routine eye care visits.
ALLEVIATING CONCERNS OVER GA THERAPIES
Dr. Yackey: Regarding adverse events or side effects, which is your primary concern with your current treatments for GA? I think it was clear that most of us worry about conversion to AMD. I thought it was interesting to see none of us were really worried about the anterior ischemic optic neuropathy (AION) or the inflammatory response35 (Figure 10) I agree that endophthalmitis would be my next concern because infection can happen with any injection.36
Does anyone have any insight or input to share on this topic?
Dr. Rodman: No.
Dr. Dunbar: Nothing from me.
Dr. Rafieetary: I have nothing to add.

Figure 10. Regarding adverse events or side-effects, which is your primary concern with the current treatments for GA?
Dr. Yackey: The next survey question was about ODs educating patients with early dry AMD about current and emergent therapies for GA. My take on this is that education is always important. Even though a patient may have early dry AMD, I think Dr. Rafieetary mentioned this earlier, but we don’t know how quick the disease will progress and that patient might be lost to follow-up. I don’t want the patient to leave the office thinking there’s no hope or that there isn’t something we can do to help them.
We know from the clinical trials and real-world experience with pegcetacoplan and avacincaptad pegol that these therapies can slow lesion growth.
The 48-month Results of OAKS, DERBY, and GALE open-label extension showed pegcetacoplan significantly preserves retinal tissue, with greater effectiveness in years 3 and 4 compared to the initial 2 years.37 Delayed treatment results in markedly less retinal tissue preservation, emphasizing the importance of early intervention for optimal outcomes. The trial results also showed that early treated patients experience a 35% risk reduction in vision loss, particularly in critical central vision loci. Safety profile of pegcetacoplan consistent with previous studies, supported by real-world data from more than 700,000 injections as of late 2025.
A post-hoc analysis of the GATHER1 and GATHER2 trials showed that avacincaptad pegol resulted in an overall 59% risk reduction in rate of vision loss compared to sham treatment at 12 months.38
Dr. Rafieetary: Education of the patient at every stage is important based on disease itself.
Dr. Yackey: It is also important that we know who in our referral network of retina specialists is using the current GA therapies, because they are not available from all retina specialists.
CONSENSUS: Optometrists should feel comfortable educating applicable patients about GA treatment options as the risk of adverse events appears to be no greater than with other ocular injections. Optometrists should also be aware of which retina specialists in their referral network utilize complement inhibitors.
ADDITIONAL EDUCATION
Dr. Yackey: As we wrap up the discussion based on the survey questions, it seems we all agree on the educational topics related to dry AMD and GA that would be the most beneficial for optometrists. These include advanced imaging techniques, emergent therapies, patient communication strategies, and referral protocols. As our earlier discussion alluded to, I think most of us feel that for right now AI is not at the top of our list.
Let’s move on to some real-world cases.
CASES
Case Study #1
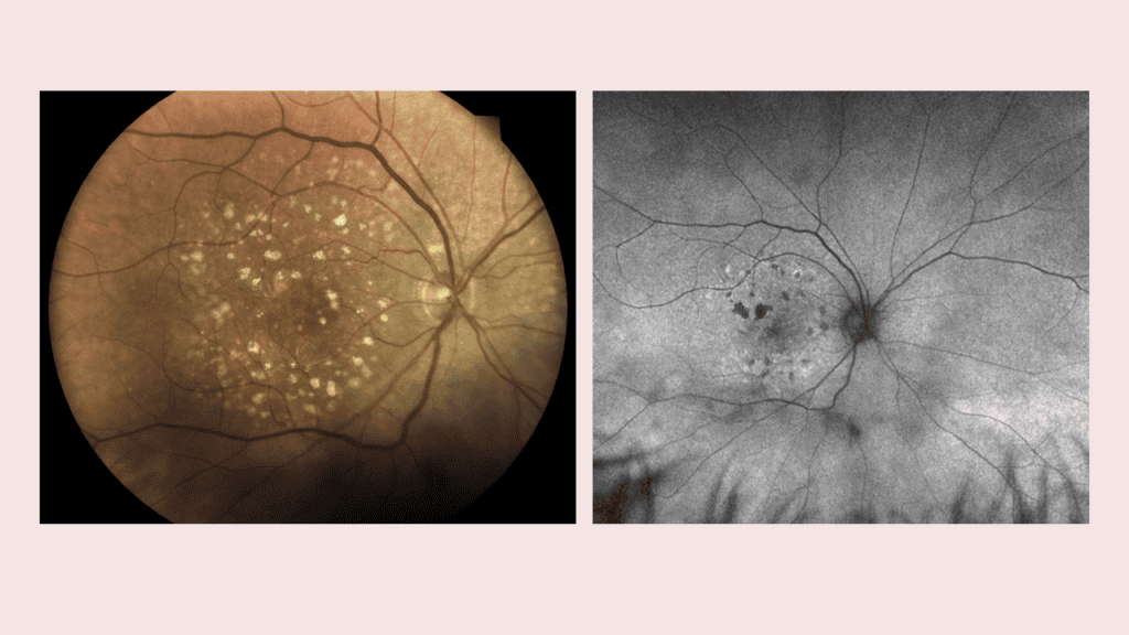
Dr. Rodman: This case involves an 80-year-old Hispanic woman who presented with complaints of difficulty seeing street signs, particularly at night. She had previously undergone cataract surgery in each eye. Her medical history was notable for prediabetes, hypertension, breast cancer, and cardiac stents.
Her VA was 20/25, and medium drusen can be seen in Figure 11. The key teaching point in this case is that we cannot rely solely on color fundus photography (CFP), because early or subtle GA lesions can be easily missed on CFP.

Figure 11. Case 1: Medium drusen shown on color fundus photography (left) and FAF (right).
Dr. Dunbar: I agree 100%.
Dr. Rodman: There are clearly multiple intermediate drusen, and there are also a few areas that look somewhat atypical. However, the reality is that many optometrists may not immediately recognize that these “odd areas” actually represent GA.
When we look at FAF, we can see hypofluorescence in these regions, which is consistent with extrafoveal GA. These lesions are located close to the fovea, and they have the potential to progress toward the fovea relatively quickly—that was really the key teaching point of this case.
Earlier we discussed what tools optometrists need in practice, and this case highlights that point well. Clinicians need to be comfortable interpreting OCT and FAF, because unless you know exactly what features to look for, subtle findings like these can easily be missed.
This is not one of those large, obvious GA lesions that everyone immediately recognizes. Instead, it’s a good example of how early atrophic changes can be quite subtle and easy to overlook, particularly when relying on color photography alone (Figure 12).

Figure 12. Case 1: Choroidal hypertransmission shown on OCT.
Dr. Dunbar: I think this case highlights some really important teaching points. I think back to just 3 or 4 years ago we were looking at that OCT only looking for fluid. We weren’t paying attention to any of those points that really are important to highlight in terms of biomarkers for progression. I believe one of the most important things we can do is start talking about these things and emphasize to the optometry community that they should be looking at these really subtle but important nuances of an OCT.
Dr. Rodman: I agree.
Dr. Rafieetary: The other point I would make about these images is if you look from near the optic nerve to outside of the scan, the RPE is diseased, the other segment is diseased. The other nuclear layer is thinned out. So that’s a bad case. The analogy I typically use is with the throat and tonsillar disease. That’s not a sore throat, that’s throat cancer.
Dr. Yackey: These are great examples of the reticular pseudodrusens. This is a great case.
Dr. Rodman: This case emphasizes how important it is not to rely on color fundus photography.
Dr. Dunbar: What would be your prediction for this case? We know this patient is going to progress. If we had a crystal ball, would you predict this is the typical 2.5 to 3 years or would this be more of the 4 to 5 to 6 years to progress?
Dr. Rodman: I would argue this is case will progress in 2.5 years based on the multifocal hyperfluorescence, bilaterality.
Dr. Rafieetary: How many of you have seen the C-shaped GA or the reverse C? If you look at that FAF image (Figure 11, right), you already have the C formation. From the top where you have the hyperautofluorescence, this could indicate the patient will develop a large GA lesion outside the fovea.39 It may never encroach to the fovea region. But even developing that C-shaped GA affects their reading and their driving. It’s not going to affect their visual acuity, but it’s going to affect their visual function. That C shape or doughnut shape is forming.
Dr. Rodman: Those of us who focus on retinal disease may recognize these patterns quickly, but we have to remember that the broader optometric community benefits most when these concepts are presented in a clear and practical way that can be applied in routine clinical care.
Dr. Rafieetary: These are the things we must continue to point out and provide education and awareness. This patient has tiny areas of hypoautofluorescence, but that hyperautofluorescence and the pattern you see also proves that this is macular degeneration because it’s the entire macula (Figure 13).

Figure 13. Case 1: Hypofluorescent and hyperfluorescent lesions: GA!
Dr. Dunbar: Keep in mind that 5 years ago, nobody thought about the disease to this level and this detail. All this information is so important, and it needs to be talked about over and over and over.
Dr. Yackey: Dr. Rodman, your clinical pearls are perfect. This patient has multifocal, extrafoveal GA bilaterally, and we want to preserve as much vision as possible.
Case Study #2
Dr. Rodman: This case involves a 69-year-old Hispanic man who presented with complaints of blurry vision. His history was notable for hypertension, and he reported a 25-year smoking history. He was also taking a daily AREDS supplement. His VA measured 20/25 in the right eye and 20/20 in the left eye (Figure 14).
This case is another good example of how extensive drusen can create a lot of visual “noise” on imaging, making it difficult to appreciate that geographic atrophy is present. On color imaging alone, it would be very easy to miss these atrophic changes. However, when we incorporate FAF, the areas of GA become much more apparent.
I particularly like cases like this because they highlight an important clinical lesson: without multimodal imaging, subtle but clinically significant pathology can easily be overlooked.

Figure 14. Case 2: Color fundus photography showing drusen bilaterally.
Dr. Yackey: I like to watch the areas for hyperfluorescence. I feel that’s important to point out. It is subtle, but it is there and it’s easy to miss if you don’t do the colors and look at OCT (Figure 15). This patient is a good candidate for intervention, as it only takes 2.5 years for extrafoveal lesions to become foveal.40 This supports early referral to a retina specialist.

Figure 15. Case 2: Multifocal, extrafoveal areas of hypofluorescence and hyperfluorescence, indicating GA, as shown on CFP, FAF, and OCT.
Case Study #3
Dr. Yackey: This 72-year-old white woman was referred to our practice in 2023 for evaluation of macular degeneration in both eyes. The patient reported that her optometrist told her she had dry AMD and she was referred to a retina clinic because he found a “dark thing” on the mapping. The patient reported that the lines on the road do a “blip-like curve” when driving. She denies flashes or new floaters in either eye. She reported no pain, redness, or discharge in either eye. Her medical history included hypertension and she was a former smoker (1 pack per day for 10 years). Her medications included lisinopril, multivitamin and AREDS2.
I included this case because it has identifiable biomarkers. You can see there’s this tiny little GA in the left eye (Figure 16).

Figure 16. Case 3. Biomarkers seen in each eye indicating GA.
Dr. Yackey: At the patient’s initial presentation, complement inhibitors were not yet available. On the patient’s next visit, hyperreflective foci, drusenoid PEDs were present (Figure 17).

Figure 17. Case 3: Drusenoid PEDs and hyperreflective foci.
Dr. Yackey: My teaching point for this case is not to forget to look outside of the central axis. You must scroll through and follow the retina throughout because the GA might happen extrafoveal, which is what we hope first anyway. We followed this patient and followed the lesion as it changed over time, and the GA hadn’t changed significantly. During her follow ups, a GA treatment became available, but we didn’t treat immediately with a complement inhibitor because the patient was nervous about the injection.
On a delayed followed up visit, GA had progressed in the right eye when it wasn’t there before. We can see the atrophy is growing and becoming larger and there’s new little lesions. At this point, we had the two eyes over time, the atrophy is growing and changing (Figure 18).

Figure 18. Case 3: Growing atrophy in the left eye.
Dr. Yackey: After a year, the patient received treatment with complement inhibitors. The pearls for this case are that both eyes had noncentral GA but the left eye progressed to have multifocal lesions, and she eventually developed binocular GA. She started complement inhibitor treatment and because of all those risk factors. And while the GA continues to grow (Figure 19), which is normal even with treatment,34 we hope that we have slowed it down and the patient’s visual acuity is basically preserved throughout because the GA luckily didn’t go into the central fovea.

Figure 19. Case 3: GA lesions continue to grow in each eye.
Dr. Yackey: The take-home message for this case is to educate early and often. Educate patients about their options, because early action can preserve visual acuity and slow the growth of GA lesions. I believe if you don’t inform patients about emerging treatment options, they might not come back because they may think there is nothing you can do to help them. This case shows that complement inhibitor can slow the growth. The other important point is that GA treatment does not stop lesion growth, but it does typically slow the growth.
CLOSING
Dr. Yackey: Thank you all for your time and insight. I believe these consensus points and related discussions will be valuable to the OD community and the way they care for patients with dry AMD and GA.
REFERENCES
- American Macular Degeneration Foundation. Geographic Atrophy. Updated 2026. https://www.macular.org/about-macular-degeneration/geographic-atrophy. Accessed February 26, 2026.
- Hyman L & Neborsky R. Risk factors for age-related macular degeneration: an update. Curr Opin Ophthalmol. 2002;13:171-175.
- Beatty S. Koh HH, Phil M, Henson D & Boulton M. The role of oxidative stress in the pathogenesis of age-related macular degeneration. Surv Ophthalmol. 2000;45:115-134.
- Borooah S, Papastavrou V, Lando L, Han J, Lin JH, et al. Reticular Pseudodrusen in Late-Onset Retinal Degeneration. Ophthalmol Retina. 2021;5(10):1043-1051
- Saundankar V, Borns M, Broderick K, Shah B, Cowburn S, et al. Annual prevalence of geographic atrophy and wet age-related macular degeneration among Medicare Advantage enrollees in a US health plan. J Manag Care Spec Pharm. 2025;31(1):88-94.
- Rein DB. et al. Prevalence of Age-Related Macular Degeneration in the US in 2019. JAMA Ophthalmol. 2022;140:1202-1208.
- Wong WL, Su X, Li X, Cheung CM, Klein R, et al. Global prevalence of age-related macular degeneration and disease burden projection for 2020 and 2040: a systematic review and meta-analysis. Lancet Glob Health. 2014;2.
- NEI. AREDS/AREDS2 Clinical Trials. https://www.nei.nih.gov/eye-health-information/clinical-trials/age-related-eye-disease-studies-aredsareds2/about-areds-and-areds2.Updated OCtober 25, 2025. Accessed February 26, 2026.
- Keenan TDL, Agrón E, Keane PA, Domalpally A, Chew EY; Age-Related Eye Disease Study Research Group; Age-Related Eye Disease Study 2 Research Group. Oral Antioxidant and Lutein/Zeaxanthin Supplements Slow Geographic Atrophy Progression to the Fovea in Age-Related Macular Degeneration. Ophthalmology. 2025;132(1):14-29.
- Velilla S, García-Medina JJ, García-Layana A, Dolz-Marco R, et al. Smoking and age-related macular degeneration: review and update. J Ophthalmol. 2013;2013:895147.
- Age-Related Eye Disease Study Research Group. Risk factors associated with age-related macular degeneration. A case-control study in the age-related eye disease study: Age-Related Eye Disease Study Report Number 3. Ophthalmology. 2000;107:2224-2232.
- Chakravarthy U, Augood C, Bentham GC, de Jong PT, Rahu M, et al. Cigarette smoking and age-related macular degeneration in the EUREYE Study. Ophthalmology 2007;114(6):1157-63.
- Rim TH, et al. Prevalence and pattern of geographic atrophy in Asia: the Asian Eye Epidemiology Consortium. Ophthalmology 127, 1371–1381 (2020).
- Smith W, Assink J, Klein R, Mitchell P, Klaver CC, Klein BE et al. Risk factors for age-related macular degeneration: pooled findings from three continents. Ophthalmology 2001;108:697-704.
- Finger RP, Wu Z, Luu CD, Kearney F, Ayton LN, et al. Reticular pseudodrusen: a risk factor for geographic atrophy in fellow eyes of individuals with unilateral choroidal neovascularization. Ophthalmology. 2014;121(6):1252-1256.
- Huisingh C, McGwin Jr G, Neely D, Zarubina A, Clark M, et al. The Association Between Subretinal Drusenoid Deposits in Older Adults in Normal Macular Health and Incident Age-Related Macular Degeneration. IOVS. 2016;57:739-745.
- Patel SN, Shi A, Wibbelsman TD, Klufas MA. Ultra-widefield retinal imaging: an update on recent advances. Ther Adv Ophthalmol. 2020;12:2515841419899495.
- Bearelly S, Khanifar AA, Lederer DE, Lee JJ, Ghodasra JH, Stinnett SS, Cousins SW. Use of fundus autofluorescence images to predict geographic atrophy progression. Retina. 2011;31(1):81-6.
- Loewenstein A, Holz F, Udaondo P, Tufail A, Vujosevic S, Kaiser P. Diagnosis and monitoring of atrophy. Supplement to Retina Today. November/December 2023.
- Cheng AMS, Chalam KV, Brar VS, Yang DTY, Bhatt J, et al. Recent Advances in Imaging Macular Atrophy for Late-Stage Age-Related Macular Degeneration. Diagnostics (Basel). 2023;13(24):3635.
- Monés J, Pagani F, Santmaría JF, Garcia M, et al. Spontaneous Soft Drusen Regression without Atrophy and the Drusen Ooze. Ophthalmology Retina. 2025;9(9):828–837.
- Lindblad AS, Lloyd PC, Clemons TE, Gensler GR, Ferris FL 3rd, Klein ML, Armstrong JR; Age-Related Eye Disease Study Research Group. Change in area of geographic atrophy in the Age-Related Eye Disease Study: AREDS report number 26. Arch Ophthalmol. 2009;127(9):1168-1174.
- Evans RN, Reeves BC, Maguire MG, et al. Associations of variation in retinal thickness with visual acuity and anatomic outcomes in eyes with neovascular age-related macular degeneration lesions treated with anti-vascular endothelial growth factor agents. JAMA Ophthalmol. 2020;138(10):1043–1051.
- Guymer RH, Rosenfeld PJ, Curcio CA, Holz FG, Staurenghi G, Freund KB, et al. Incomplete Retinal Pigment Epithelial and Outer Retinal Atrophy in Age-Related Macular Degeneration: Classification of Atrophy Meeting Report 4. Ophthalmology. 2020;127(3):394-409.
- Borkar D, Rahimy E, Khan MA, Ho AC, Hatfield M, et al. Functional Outcomes and Quality of Life in Geographic Atrophy in the Clinical Setting.Ophthalmology Retina 2025;9(3):299-301.
- Fleckenstein M, Keenan TDL, Guymer RH, et al. Age-related macular degeneration. Nat Rev Dis Primers. 2021;7(1):31.
- Corradetti G, Corvi F, Nittala MG, et al. Natural history of incomplete retinal pigment epithelial and outer retinal atrophy in age-related macular degeneration. Can J Ophthalmol. 2021;56(5):325-334.
- Wu Z, Goh KL, Hodgson LAB, Guymer RH. incomplete retinal pigment epithelial and outer retinal atrophy: longitudinal evaluation in age-related macular degeneration. Ophthalmology. 2023;130(2):205-212.
- Ferris FL, Davis MD, Clemons TE, et al. A simplified severity scale for age-related macular degeneration: AREDS Report No. 18. Arch Ophthalmol. 2005;123(11):1570–1574.
- de Sisternes L, Simon N, Tibshirani R, Leng T, Rubin DL. Quantitative SD-OCT imaging biomarkers as indicators of age-related macular degeneration progression. Invest Ophthalmol Vis Sci. 2014;55(11):7093–7103.
- Nathoo NA, Or C, Young M, et al. Optical coherence tomography-based measurement of drusen load predicts development of advanced age-related macular degeneration. Am J Ophthalmol. 2014;158(4):757–761.e1.
- Amer M, Sonne S, Piri N. Hyperreflective Choroidal Foci: A Comprehensive Review. J Ophthalmic Vis Res. 2025;20:10.18502/jovr.v20.18397.
- FDA. Updated March 23, 2026. 510(k) Premarket Notification Foresee Home. https://www.accessdata.fda.gov/scripts/cdrh/cfdocs/cfpmn/pmn.cfm?ID=K091579. Accessed March 24, 2026.
- Regillo CD, Nijm LM, Shechtman DL, Kaiser PK, Karpecki PM, et al. Considerations for the Identification and Management of Geographic Atrophy: Recommendations from an Expert Panel. Clin Ophthalmol. 2024;18:325-335.
- AAO. What to Know About Syfovre and Izervay for Geographic Atrophy. Updated April 17, 2025. https://www.aao.org/eye-health/tips-prevention/syfovre-izervay-geographic-atrophy-amd-macular-deg#:~:text=Injections%20of%20Syfovre%20or%20Izervay%20can%20cause%20inflammation%2C%20bleeding%20beneath,so%20after%20their%20first%20injection.] Accessed February 26, 2026.
- AAO. Managing Endophthalmitis After Intravitreal Injections. Updated December 1, 2021. https://www.aao.org/eyenet/article/endophthalmitis-after-intravitreal-injections. Accessed February 26, 2026.
- Goldberg RA. https://www.ophthalmologytimes.com/view/asrs-2025-48-month-results-from-oaks-derby-and-gale-open-label-extension. Updated August 9, 2025. Accessed September 4, 2025.
- Danzig C, et al. Ophthalmol Retina. Available online: https://www.sciencedirect.com/science/article/pii/S2468653024002240?via%3Dihub.
- Shen LL, Sun M, Ahluwalia A, Young BK, Park MM, Del Priore LV. Geographic Atrophy Growth Is Strongly Related to Lesion Perimeter: Unifying Effects of Lesion Area, Number, and Circularity on Growth. Ophthalmol Retina. 2021;5(9):868-878.
- Bakri SJ, Bektas M, Sharp D, Luo R, Sarda SP, Khan S. Geographic atrophy: Mechanism of disease, pathophysiology, and role of the complement system. J Manag Care Spec Pharm. 2023;29(5-a Suppl):S2-S11.